¿Qué es el síndrome navicular?
El síndrome navicular es una alteración dolorosa que afecta a los caballos, especialmente aquellos que realizan actividades físicas intensas, como en la equitación de competición. Esta condición tiene lugar en la estructura ósea conocida como hueso navicular, situada en la parte posterior del casco del caballo. La inflamación y el daño en esta área pueden provocar un dolor significativo, dificultando la movilidad y el rendimiento del animal.
Causas y síntomas
Las causas del síndrome navicular pueden ser diversas, abarcando desde predisposiciones genéticas hasta un manejo inadecuado del caballo. Los síntomas más comunes incluyen cojera intermitente, particularmente en superficies duras, y una disminución notable en el rendimiento. Los caballos a menudo evitan ciertas maniobras o movimientos que normalmente realizarían con facilidad. Es vital prestar atención a estos comportamientos, ya que pueden ser señales de que el animal está sufriendo.
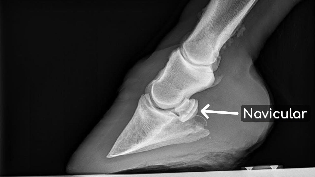
Diagnóstico y manejo
El diagnóstico del síndrome navicular requiere una evaluación veterinaria exhaustiva. Esto puede incluir radiografías y pruebas de sensibilidad que ayudan a determinar la localización exacta del dolor. El manejo de esta condición puede variar; puede incluir modificaciones en la herradura, tratamientos médicos y, en algunos casos, cirugía. Los propietarios de caballos deben colaborar estrechamente con sus veterinarios para establecer un plan adecuado que ayude a aliviar el dolor y mejorar la calidad de vida del animal.

